Um Sorriso Transformado, Uma Vida Transformada
Facetas de Resina é Autoestima. Imagine um sorriso radiante, livre de imperfeições, capaz de iluminar seu rosto e contagiar sua autoestima. Essa realidade pode ser sua com as facetas de resina, uma solução odontológica inovadora que vai além da estética e impacta diretamente na sua qualidade de vida.
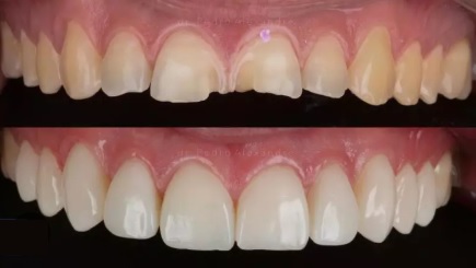
As facetas de resina não se limitam a corrigir problemas estéticos como dentes amarelados, desalinhados ou fraturados. Elas restauram a confiança em si mesmo, permitindo que você sorria sem constrangimentos e abrace a vida com mais positividade.
As facetas de resina são feitas de um material biocompatível e resistente, que imita perfeitamente a cor e a textura dos dentes naturais. Cada caso é cuidadosamente planejado para alcançar um resultado harmônico e personalizado, respeitando as características individuais do paciente.
Auto estima é essencial
A aplicação das facetas de resina é um procedimento minimamente invasivo e indolor, realizado em poucas consultas. O dentista prepara os dentes e aplica as facetas, que são fixadas com resina adesiva de alta performance.
Com os cuidados adequados, as facetas de resina podem durar por muitos anos, proporcionando um sorriso impecável e duradouro. A higiene bucal regular e visitas periódicas ao dentista são essenciais para garantir a longevidade do tratamento.
Com isso, conclui-se que, as facetas de resina representam um investimento na sua autoestima e qualidade de vida. O sorriso é um dos elementos mais importantes da comunicação humana e ter um sorriso bonito e saudável pode fazer toda a diferença em suas relações pessoais e profissionais.
Facetas de Resina: Dando Vida ao Seu Sorriso

Se você busca um sorriso mais bonito, confiante e radiante, as facetas de resina podem ser a solução ideal para você. Consulte um dentista especializado para saber mais sobre esse tratamento inovador e transformar seu sorriso, transformando sua vida. Facetas de Resina é Autoestima
Descubra os Benefícios das Facetas de Resina:
- Restauração estética de dentes amarelados, desalinhados ou fraturados
- Melhora da autoestima e da confiança em si mesmo
- Sorriso natural e personalizado
- Procedimento rápido, indolor e minimamente invasivo
- Resultados duradouros com os cuidados adequados
- Investimento na qualidade de vida e bem-estar

